目立たない入れ歯(ノンクラスプデンチャー)による治療
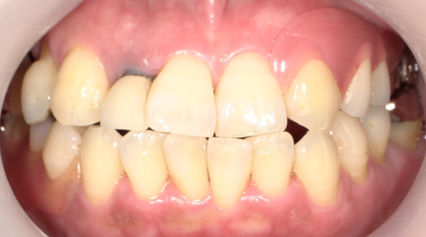
ビフォーアフター
今回の症例は入れ歯(ノンクラスプデンチャー)の症例です。
ノンクラスプデンチャーは従来の金属のクラスプ(歯にかける金属)を使用したものと比べ、審美的に優れた入れ歯です。
また、よりフィットするため、入れ歯が咀嚼時に動くこともなく快適に使用できるのも特徴です。
| 主訴 | 右下、左上の奥歯の欠損による咀嚼時の機能障害 |
|---|---|
| 治療内容 | Ⅰ:入れ歯の型取り (口腔内の型を取り、入れ歯の設計を行う) Ⅱ:試適 (入れ歯の模型を作り、口腔内で試着・確認を行う) Ⅲ:装着 (完成した入れ歯を口腔内で調整する) |
| 患者様の年齢 | 60代 |
| 患者様の性別 | 女性 |
| 治療期間 | 約1か月 | 治療費(税込) | 上下ノンクラスプデンチャー 計 16万円+税 ※自由診療 | 治療で得られるメリット | 機能回復 審美性の獲得 快適性の向上
患者様からは「目立たなく、装着感がよい よく噛める」と言って頂けました。 |
治療する際に起こる リスク・副作用 |




