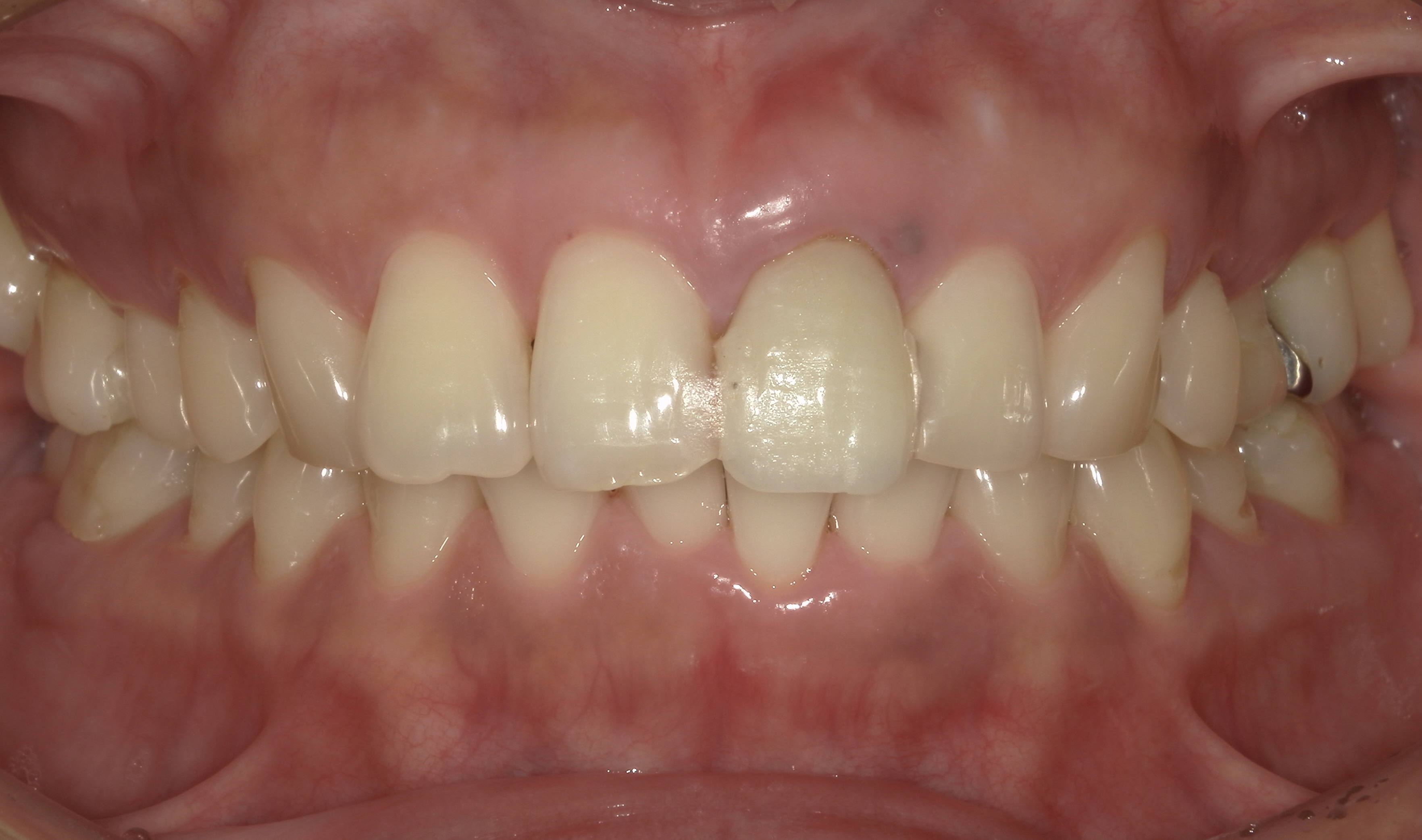
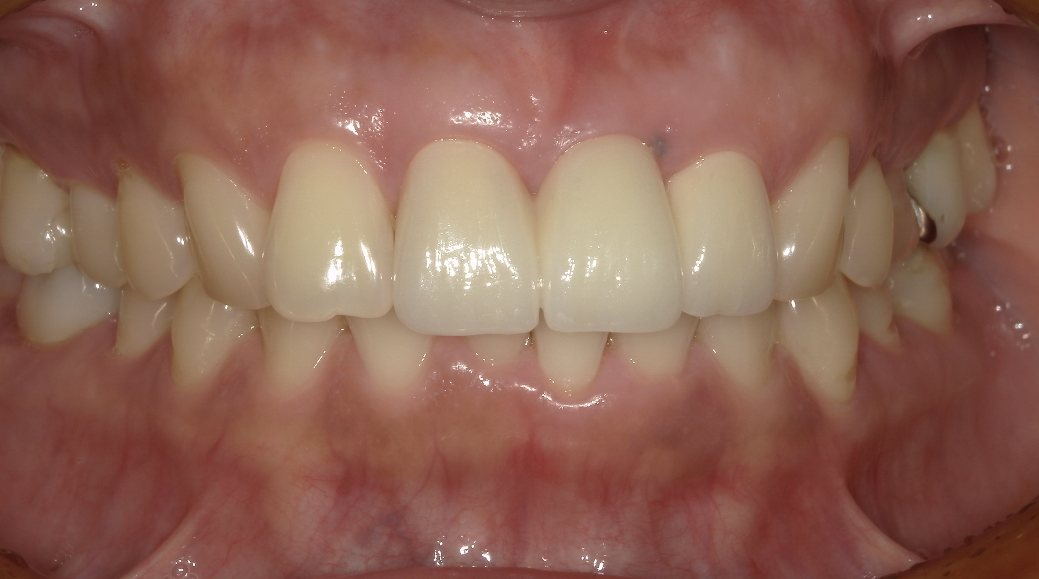
まるで自分の歯のような仕上がり!ジルコニアセラミックブリッジによる前歯の審美治療
ビフォーアフター
こんにちは。
院長の野上です。
天然歯に近い審美性と高い耐久性を誇るジルコニアセラミックブリッジは、部分的な欠損や大きな修復が必要な前歯から奥歯まで幅広く適用できる優れた治療法です。本症例では、患者様の笑顔を自然に美しく取り戻すために、ジルコニアセラミックブリッジを用いて前歯の審美治療を行いました。詳細をご紹介いたします。
この症例をご覧になって同じような悩みや不安をお持ちの方は、ぜひ当クリニックにご連絡ください!
| 主訴 | 「前歯の被せ物ごと歯が折れてしまった」 と来院されました。
|
|---|---|
| 治療内容 | 初診時、患部の歯の状態を確認するため、レントゲンなどの検査を しかし、詳細な検査の結果、歯茎の深い位置で歯が垂直破折している 抜歯後は、事前に作製していた仮歯を装着し、抜歯窩(ばっしか)の 治癒期間を経て、歯茎や仮歯の調整を行った後、型取りを行いブリッジを製作・装着しました。最終的に、ブリッジの保護を目的としてナイトガードを作製させていただきました。
|
| 患者様の年齢 | 40代 |
| 患者様の性別 | 女性 |
| 治療期間 | 半年 | 治療費(税込) | 仮歯 7500円+税 セラミックブリッジ(3歯)27万円+税 | 治療で得られるメリット | ~ジルコニアセラミックのメリット~
などメリットが多くあります! |
治療する際に起こる リスク・副作用 |
〜ジルコニアセラミックブリッジのリスク〜
|




